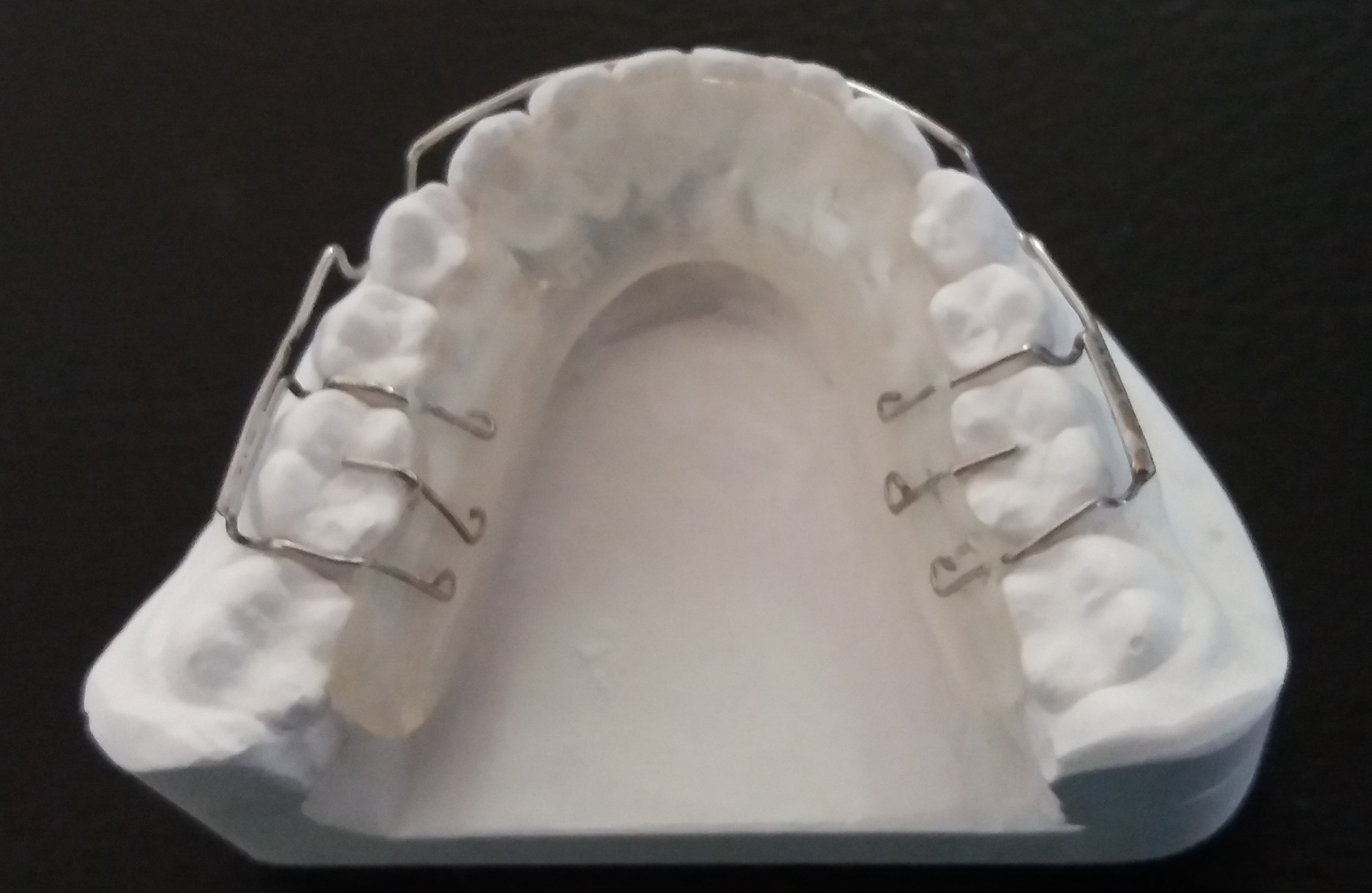
Hawley-Retainer mit gelötetem Labialbogen
Der Hawley-Retainer dient (meist nach der Entbänderung) als Retentionsplatte.
Es gibt verschiedene Ausführungen.
Er besteht aus einer Kunststoffbasis, 2 Adamsklammern, 2 Auflagen und einem an die Adamsklammern angelöteten Labialbogen.
